2025, 41(9):1-7. DOI: 10.13652/j.spjx.1003.5788.2025.80654
摘要:目的 探究研磨粒径和萃取温度对咖啡液化学成分、胶体特性及胶体颗粒抗氧化活性的影响,揭示咖啡胶体颗粒的形成与性质。方法 采用完整豆、中等研磨(0.9 mm)、细研磨(0.3 mm)3种咖啡豆,通过热冲(100 ℃,3 min)和冷泡(4 ℃,24 h)制备咖啡液,测定总固形物、总糖、蛋白质、总多酚和油脂含量。利用纳米粒度电位仪表征胶体性质,通过标称截留相对分子质量为1×105的超滤膜分离滤过液(真溶液相)和截留液(胶体相),分别检测其化学成分及抗氧化活性。采用ORAC、ABTS、DPPH法评估胞外抗氧化性,CAA法评估胞内抗氧化性。结果 细研磨(0.3 mm)结合热冲可显著提升总固形物、多酚及油脂溶出率(P<0.05),并促进胶体颗粒形成(热冲的光散强度为115 501.8 kcps,远超冷泡的1 250.2 kcps)。超滤显示,脂质等成分富集于胶体颗粒中。真溶液相(滤过液)主导胞外抗氧化活性,而胶体颗粒(截留液)在CAA测试中展现显著生物学活性。结论 高温萃取与细研磨可通过促进成分溶出及自组装显著增强胶体颗粒形成,胶体颗粒是咖啡胞内抗氧化活性的关键物质基础。
2025, 41(9):8-14. DOI: 10.13652/j.spjx.1003.5788.2025.80324
摘要:目的 利用塔格糖糖基化改善蛋清蛋白(EWP)的功能特性。方法 对比糖基化蛋清蛋白(G-EWP)、热处理蛋清蛋白(H-EWP)和蛋清蛋白的抗氧化性、乳化及其稳定性、起泡及其稳定性的差异,并采用十二烷基硫酸钠—聚丙烯酰胺凝胶电泳、傅里叶变换红外光谱、圆二色谱、扫描电子显微镜、粒径分析等探究糖基化蛋清蛋白的结构变化机理。结果 相较于EWP和H-EWP,G-EWP的抗氧化性、乳化性、乳化稳定性、起泡性和泡沫稳定性均显著提高(P<0.05);糖基化后相对分子质量增大,塔格糖与蛋清蛋白发生共价接枝,α-螺旋、β-折叠、β-转角含量发生变化,形态由球状变为大块状复合物,平均粒径由153.53 nm降至129.33 nm(P<0.05),Zeta电位值由-22.68 mV下降至-31.83 mV(P<0.05)。结论 塔格糖糖基化能明显改善EWP的功能特性。
2025, 41(9):15-22. DOI: 10.13652/j.spjx.1003.5788.2025.80187
摘要:目的 探究高压脉冲电场处理对冷冻苹果品质的影响。方法 以苹果样品为试验材料,采用高压脉冲电场处理方法,通过观测苹果样品冻结曲线、冻结时间和微观组织结构的变化,分析高压脉冲电场对苹果样品冻结过程和细胞结构的影响。测量苹果样品解冻后质构参数、汁液流失率、营养成分以及色泽等品质指标,分析高压脉冲电场对冻结苹果解冻品质的影响及其机理。结果 高压脉冲电场处理缩短了苹果样品冻结时通过最大冰晶生成区的时间;1 000 V/cm,60 μs,15个的高压脉冲电场处理的苹果样品微观组织细胞孔隙空间相对较小,减缓了冻结对细胞结构的破坏;1 000 V/cm,60 μs,15个和1 250 V/cm,90 μs,30个的高压脉冲电场处理的苹果样品解冻后的凝聚性、回复性均显著提高,汁液流失率显著减小,苹果的含糖和含钙量显著提高;1 000 V/cm,60 μs,15个的高压脉冲电场处理的苹果样品解冻后未发生褐变且色泽鲜亮。结论 适当的高压脉冲电场处理可减缓冻结对苹果产生的损伤,提升冷冻苹果的品质。
2025, 41(9):23-29. DOI: 10.13652/j.spjx.1003.5788.2024.81180
摘要:目的 探究油莎豆淀粉结构变化对其表观黏度、吸水性指数和稳定性等指标的影响。方法 采用超微粉碎、微波处理、酶法处理3种改性方式处理油莎豆粉,分析不同改性方式所引起的淀粉结构变化对粉体冲调性的影响。结果 与未改性油莎豆粉相比,酶法改性后油莎豆相对结晶度由43.49%降低至20.69%,淀粉结构破裂程度最为显著,冲调性显著改善。粉体分散液的表观黏度、稳定性显著提高,吸水性指数与水溶性指数分别提高了34.39%和100.03%。微波处理引起油莎豆淀粉分子聚集,淀粉相对结晶度降低至30.55%,冲调性略有改善,表现为粉体分散液表观黏度、稳定性提高,离心沉淀率与吸水性指数分别提高了1.30%和12.10%。超微粉碎对油莎豆粉淀粉结构影响最小,相对结晶度降低至37.41%,但是粉体表观黏度、稳定性、吸水性指数均下降,不利于冲调性的改善。结论 超微粉碎、微波处理、酶法处理都会引起油莎豆淀粉结构变化,进而影响其粉体冲调性,其中酶法改性效果显著。
2025, 41(9):30-41. DOI: 10.13652/j.spjx.1003.5788.2025.80318
摘要:酱卤肉制品的独特风味来源于内源性前体物质的热诱导转化,以及外源性香辛料的风味协同作用。其风味形成机制涵盖蛋白质和脂质的氧化与降解过程,以及相关次级产物驱动的美拉德反应等多重路径。该综述系统探讨了酱卤肉制品风味化合物的组成特性与调控机制,重点分析了挥发性和非挥发性物质如何共同构建风味基础,风味成分的主要来源,以及加工参数(如温度、时间、卤汤循环次数)如何通过调控反应速率影响风味的强度与稳定性,并归纳总结了酱卤肉制品风味形成的潜在机理,以期为酱卤肉制品风味优化与标准化生产提供理论参考。
2025, 41(9):42-51. DOI: 10.13652/j.spjx.1003.5788.2025.80290
摘要:目的 解决在4-羟基苯乙醇(HPET)催化体系中快速检测3,4-二羟基苯乙醇(DHPET)因传统紫外分光光度法光谱重叠干扰受限问题。方法 针对现有方法特异性不足的问题,提出基于Fe3+配位调控的分光光度快速检测法,通过Fe3+与DHPET邻苯二酚基团的双齿螯合作用,诱导特征吸收光谱红移至760 nm,显著区别于单酚化合物的弱配位响应。结果 优化条件后,方法线性范围为3~100 mmol/L(R2=0.998),检出限为0.709 mmol/L,精密度(RSD)<2%,满足工业催化体系实时监测需求。结论 双齿配位增强选择性的分子机制在酶催化体系中具有实用性,可为DHPET工业化生产提供低成本、快速的分析工具。
2025, 41(9):52-57. DOI: 10.13652/j.spjx.1003.5788.2024.81197
摘要:目的 提高砖茶中氟含量检测结果的准确性。方法 以砖茶为研究对象,根据GB 19965—2005《砖茶含氟量》、CANS-GL006《化学分析中不确定度的评估指南》、JJF 1059.1—2012《测量不确定度评定与表示》,对氟离子选择电极法测定砖茶中氟含量的不确定度进行评估。结果 在95%置信区间下,砖茶中氟含量结果为(281±17) mg/kg,k=2。结论 氟离子选择电极法测定砖茶中氟含量的不确定度主要来源为标准曲线中移液管的使用。
2025, 41(9):58-66. DOI: 10.13652/j.spjx.1003.5788.2024.81091
摘要:目的 探究采后龙眼不同货架期真菌群落结构差异及真菌毒素污染情况。方法 采用Illumina MiSeq高通量测序技术对采后龙眼室温(25 ℃)及冷藏贮藏(4 ℃)下真菌多样性进行分析。同时利用超高效液相色谱—串联质谱法对龙眼样本进行44种真菌毒素的含量分析,识别毒素风险危害。结果 随着货架期的延长,采后龙眼果实在室温贮藏过程中真菌多样性和丰富度呈先上升后下降的趋势,而冷藏贮藏过程中则呈先升高后降低再升高的变化趋势。在属水平上,室温贮藏中(1~2 d)、后期(6~7 d)优势菌属为毛色二孢属(Lasiodiplodia),相对丰度为77.55%~99.46%。冷藏贮藏中(10~18 d)、后期(21~24 d)优势菌属为假丝酵母属(Candida)和有孢圆酵母属(Torulaspora),相对丰度分别为78.22%和12.62%。毒素测定分析结果显示,在室温及冷藏贮藏过程中均未检测到真菌毒素。结论 采后龙眼样品在室温及冷藏贮藏条件下,果肉部分受真菌毒素的污染风险较低;龙眼果实货架期腐烂变质主要由毛色二孢属侵染引起,冷藏贮藏条件下龙眼货架期的延长,主要原因是毛色二孢属的生长受到抑制。
2025, 41(9):67-74. DOI: 10.13652/j.spjx.1003.5788.2025.60103
摘要:目的 提高多工位食品分拣机器人的路径规划效率。方法 提出一种基于改进淘金者优化算法(improved gold rush optimizer, IGRO)的双阶段路径规划方法。首先,构建包含单工位最优抓取位置与多工位移动最短距离的双层规划模型,综合考虑路径长度、平滑度及安全度三项目标;其次,设计改进淘金算法:引入自由探索行为增强全局搜索能力,采用余弦形式收敛因子平衡算法探索与开发效率。结果 与CRO、蚁群算法等算法相比,IGRO使总路径缩短7.3%~39.2%,运行时间减少26.7%~50.1%,且路径平滑度提升18.6%。结论 该方法有效提高了食品分拣机器人的作业效率,具有较高工程应用价值。
2025, 41(9):75-81. DOI: 10.13652/j.spjx.1003.5788.2025.60050
摘要:目的 解决现有苹果自动分级方法存在的分级精度差和效率低等问题。方法 在基于机器视觉的苹果自动分级系统基础上,提出一种结合卷积神经网络、全局平均池化、批量归一化和支持向量机的苹果自动分级方法。通过全局平均池化,降低模型参数量。通过批量归一化技术提高模型的泛化能力。通过支持向量机替换卷积神经网络的Softmax分类器,提高分类的准确性,并进行验证实验。结果 与常规的苹果分级方法相比,试验方法在苹果自动分级中具有更高的检测准确和效率,分级准确率达到98.50%,分级速度达到209 帧/s,满足食品加工自动化要求。结论 通过优化现有苹果自动分级方法,在一定程度上提高了检测性能。
2025, 41(9):82-90. DOI: 10.13652/j.spjx.1003.5788.2025.60080
摘要:目的 解决现有食品分拣系统缺陷漏检率高和分拣效率低等问题。方法 基于视觉检测的食品自动化分拣系统,提出一种融合改进YOLOv11和动态分拣策略用于食品自动化分拣系统。通过改进YOLOv11目标检测模型优化食品缺陷识别和定位能力,结合动态分拣策略实现机器人动态目标分拣。改进模型引入轻量级跨尺度特征融合模块,通过简化结构、强化信息交互来提升网络效率,引入C3k2_Faster_EMA模块的替换C3k2模块,在保持高精度的同时显著提升计算效率,引入Inner_DIoU损失替换CIoU损失,提升检测和定位精度。通过试验对其优越性进行验证。结果 试验方法能够更快速、准确地检测出食品缺陷,实现更优的分拣成功率和效率,能够精准、高效地将不同缺陷食品分拣至对应位置。改进模型在食品缺陷检测中平均精度均值达99.67%,较原始模型提升7.93%,系统推理速度达120 帧/s。在输送速度为100~200 mm/s时,试验方法的分拣成功率>99.00%,平均分拣时间<0.75 s。结论 通过融合深度学习和动态分拣策略,可以显著提升食品分拣的智能化水平与生产效益。
2025, 41(9):91-98. DOI: 10.13652/j.spjx.1003.5788.2025.60062
摘要:目的 为提高机械臂食品分拣系统在分拣任务中的精度和鲁棒性,研究结合机器视觉与力觉的新型分拣方法。方法 在食品分拣系统的基础上,提出一种融合改进YOLOX模型和改进导纳控制的机械臂食品分拣方法。通过引入卷积注意力机制模块(CBAM)聚焦目标特征,采用深度可分离卷积优化网络结构,结合新型主干网络增强YOLOX模型对食品目标的识别定位能力。同时,利用基于改进导纳的主动柔顺控制方法,实现对不同食品的稳定分拣。通过搭建试验平台对所提方法的应用效果进行分析。结果 所提改进YOLOX模型在食品目标检测上准确率提升至99%以上,相较于传统方法提高3%以上,且在多种脆性食品分拣任务中,系统鲁棒性显著增强,分拣成功率提高了5%以上。结论 所提方法有效提升了机械臂食品分拣的精度与鲁棒性,具有良好的应用前景。
2025, 41(9):99-106. DOI: 10.13652/j.spjx.1003.5788.2025.60091
摘要:目的 针对现代食品检测实验室在样品前处理过程中精度差、受人为因素影响较大等问题,研制自动化移液装置,提升检测效率与质量,同时减少设备成本,降低维护复杂度,满足多种样本液在不同规格试管间的双通道移液需求。方法 采用电机驱动丝杆的传动结构,实现旋拧夹爪与移液头的横移、垂直移方向的准确运动。采用微升级精度的吸取泵对被测样本液进行精确吸取与释放。基于YOLOv8目标检测算法设计移液控制系统的上位机,实现移液区检测及液面初定位,并对移液装置的各执行单元实施调度。设计以STM32单片机为控制核心的下位机,通过网络模块与上位机连接通信,接收运动指令及上报各电机运行状态。结果 研制了一套基于视觉定位的自动化移液装置。结论 该装置能够按照设定的程序以较高精度完成移液任务,且试验结果满足JJG 646—2006标准要求,可满足食品检测中样品前处理过程所需移液需求。
2025, 41(9):107-115. DOI: 10.13652/j.spjx.1003.5788.2024.81202
摘要:目的 研究姜精油纳米乳作为猪肉天然保鲜剂的保鲜效果。方法 采用质量分数1.5%的姜精油纳米乳处理猪里脊肉,分析4 ℃下猪里脊肉的感官、理化和微生物指标变化,并采用高通量测序技术,分析贮藏期间猪肉的菌群变化。结果 经姜精油纳米乳处理的猪肉的pH值、挥发性盐基氮和丙二醛含量在不同时间段均显著低于经无菌水处理的对照组(P<0.05),显示出良好的保鲜效果,里脊肉的货架期延长了6 d。姜精油纳米乳能有效降低微生物丰富度及多样性,并抑制巨大球菌属(Macrococcus)和热杀索丝菌属(Brochothrix)等腐败菌,延缓猪肉腐败。结论 姜精油纳米乳可作为天然保鲜剂有效抑制腐败菌生长,抑制猪肉蛋白质降解及脂质氧化,并改善感官品质,延长猪肉制品货架期。
2025, 41(9):116-121. DOI: 10.13652/j.spjx.1003.5788.2025.80327
摘要:目的 探究冷等离子预处理条件对枸杞干燥特性及品质的影响,并确定最优工作参数。方法 以新鲜枸杞为原料,在不同输送速度(0.5,1.0,1.5,2.0,2.5 m/min)条件下进行冷等离子预处理,分析对比不同预处理对枸杞干燥时间、多糖、总黄酮、总酚、DPPH自由基清除能力、色泽以及复水比的影响。结果 采用冷等离子预处理能够提高枸杞干燥速度,缩短干燥时间,当冷等离子预处理输送速度为1.5 m/min,干燥后的枸杞多糖、总黄酮、总酚以及DPPH自由基清除能力值最高,分别为(103.18±0.84) mg/g、(5.35±0.04) mg/g、(10.46±0.07) mg GAE/g和(43.27±0.31)%,颜色与新鲜枸杞最接近,复水比也最高。结论 冷等离子预处理技术可以有效缩短干燥时间,提高枸杞干燥品质。
2025, 41(9):122-129. DOI: 10.13652/j.spjx.1003.5788.2024.81124
摘要:目的 提升冷冻南美白对虾的质构品质。方法 以南美白对虾为对象,系统评价超声解冻(300,400,500 W)对冷冻虾质构特性、解冻损失、蒸煮损失、TVB-N含量、TBARS值、蛋白质氧化程度(巯基、羰基含量)、氨基酸释放、pH值和感官评定指标的影响。结果 超声解冻显著增加了冷冻虾的弹性、硬度和回复性(P<0.05),其中400,500 W超声组的硬度和弹性显著高于300 W超声组。超声解冻显著降低了冷冻虾产品的解冻损失、蒸煮损失和TVB-N含量(P<0.05),500 W超声组的降低效果最显著。氨基酸分析显示,超声解冻显著提高了总氨基酸(TAA)含量和必需氨基酸(EAA)比例,其中300,400 W超声组的亮氨酸、谷氨酸等必需氨基酸释放量达到最高值。蛋白质氧化程度分析表明,超声解冻组的巯基含量较常温解冻显著增加,羰基含量显著降低。感官评定结果显示,超声解冻组的综合评分显著高于常温解冻组,其中400 W超声组的感官评分最高。Pearson相关性分析表明,冷冻虾的解冻损失与弹性、硬度呈负相关(P<0.05),与TVB-N含量、TBARS值、羰基含量呈正相关(P<0.05);TVB-N含量与硬度、弹性、回复性呈负相关(P<0.05),与TBARS值、羰基含量呈正相关(P<0.05)。结论 超声解冻较常温解冻提升了冷冻虾的质构品质,有效抑制了解冻过程中的脂质和蛋白质氧化程度,其中400 W超声解冻处理最为适宜。
2025, 41(9):130-136. DOI: 10.13652/j.spjx.1003.5788.2024.81121
摘要:目的 探究大型果蔬高架库内部气流组织及温度分布情况并剖析其形成机理。方法 以某一大型果蔬高架库为研究对象,采用试验测量和CFD数值模拟技术分析冷库内部实际气流组织情况。结果 堆货区域水平面平均温度随堆货高度的降低而下降,上层高度12.3 m处最高均温为3.05 ℃,中层高度7.3 m处为2.86 ℃,下层高度2.3 m处为2.31 ℃,中上层与中下层温差分别为0.19,0.55 ℃;该冷库采用屋顶式冷风机+织物风道形式,库内气流组织较均匀,但受货箱阻力作用和织物风道送风卷吸影响,堆货越靠近冷库中间,表面温差越大,且在中间过道的中上部(冷风机回风区域)形成高温区。结论 该织物风道设计在冷库中实现了较为均匀的气流组织情况,但受货箱密集和呼吸热堆积影响,部分区域冷却效果不佳,且升温非线性需通过优化保温层来节能和提高设备寿命。
2025, 41(9):137-146. DOI: 10.13652/j.spjx.1003.5788.2024.80971
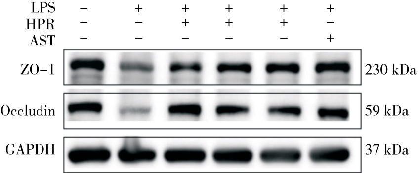
摘要:目的 探讨雨生红球藻粉(Haematococcus pluvialis,H. pluvialis)对脂多糖(LPS)诱导的口腔上皮损伤的保护作用。方法 检测不同剂量的H. pluvialis对人正常口腔上皮角质细胞(HOKs)活力的影响;测定LPS诱导的HOKs中紧密连接相关蛋白ZO-1和Occludin、线粒体形态、活性氧(ROS)、线粒体膜电位(MMP)、线粒体超氧化物(MitoSOX)和线粒体通透性转换孔(MPTP)的变化。结果 与LPS模型组相比,高剂量H. pluvialis显著上调Occludin和ZO-1蛋白表达水平分别至151.56%和170.52%(P<0.05),并且促进了Occludin和ZO-1蛋白的细胞膜分布。此外,H. pluvialis明显改善了LPS诱导的HOKs中产生过量的ROS、MitoSOX、MMP的降低和MPTP增大。结论 H. pluvialis可能通过改善线粒体功能障碍和降低氧化应激水平改善LPS诱导的HOKs屏障损伤,提示H. pluvialis可开发为口腔黏膜屏障修复的功能性食品。
2025, 41(9):147-154. DOI: 10.13652/j.spjx.1003.5788.2024.80433
摘要:目的 考察裸藻提取物对小鼠抗疲劳作用及抗氧自由基水平的影响,并分析其具体作用机制。方法 选取40只健康成年雄性昆明小鼠,随机分为对照组(构建小鼠疲劳模型,并用生理盐水代替受试药物注射)、给药低剂量组(裸藻0.25 g/kg BW)、给药中剂量组(裸藻0.50 g/kg BW)和给药高剂量组(裸藻1.50 g/kg BW),灌胃给药,观察受试小鼠的游泳力竭时间和疲劳转棒试验时间,检测小鼠血糖、肝糖原、肌糖原、血尿素氮水平、全血乳酸含量、血清LDH和CK活性,并比较肝脏、腓肠肌与血清中超氧化物歧化酶和谷胱甘肽过氧化物歧化酶及丙二醛含量,综合评价裸藻的抗疲劳、抗氧自由基能力。结果 与对照组相比,裸藻提取物中剂量组和高剂量组的转棒时间显著延长(P<0.05)、小鼠负重游泳时间显著增加(P<0.05);小鼠肌组织中MG及肝脏中LG含量显著增加(P<0.05);小鼠血清中BUN含量显著降低(P<0.05);小鼠游泳后BLA浓度、血清LDH和CK活力显著降低(P<0.05);小鼠血清、肝脏和肌组织中SOD活力显著提高(P<0.05);小鼠血清、肝脏和肌组织中MDA含量显著降低(P<0.05);小鼠血清、肝脏和肌组织中GSH-Px活力显著提高(P<0.05)。结论 裸藻提取物具备有效清除运动过程中产生的超氧阴离子自由基和过氧化氢自由基的能力,可以缓解肌肉疲劳并减少运动性疲劳的发生。
2025, 41(9):155-160. DOI: 10.13652/j.spjx.1003.5788.2024.81181
摘要:目的 探究红菌豆腐中功能性肽的性能。方法 采用超声水提法提取红菌豆腐中的功能性肽,以肽的粗提物含量为指标,考察提取时间、pH、提取温度、料液比对肽提取的影响,设置单因素试验和正交试验对提取工艺进行优化,并评价所得功能性肽的抗氧化活性。结果 红菌豆腐中功能性肽的最佳提取工艺为提取时间35 min、提取温度55 ℃、pH 11、料液比1∶40 (g/mL),最佳工艺所得肽的粗提物含量为114.07 mg/g,远高于其他工艺条件所得。红菌豆腐中的功能性肽具有一定的抗氧化活性,以最佳工艺提取的功能性肽的DPPH自由基清除率和ABTS自由基清除率分别为69.46%和79.18%。结论 红菌豆腐是具抗氧化、营养和药用保健功能的食源性功能性肽的优良来源,极具开发利用价值。
2025, 41(9):161-168. DOI: 10.13652/j.spjx.1003.5788.2024.81039
摘要:目的 研究杜仲不同部位的营养成分和体外抗氧化能力。方法 参照国标方法测定不同部位的蛋白质、脂肪、灰分、维生素C、多糖、黄酮以及绿原酸的含量;采用ABTS+自由基清除法、DPPH自由基清除法和总还原力法评估不同部位杜仲的抗氧化活性。结果 杜仲不同部位之间的基本营养素含量均存在统计学差异(P<0.05),叶中的灰分和脂肪含量最高,分别为13.65,6.19 g/100 g;雄花中的蛋白质和维生素C含量最高,分别为20.8,13.9 g/100 g;杜仲叶中的总黄酮、绿原酸以及多糖含量最高,分别为2.45,1.61,1.27 g/100 g。体外抗氧化活性结果表明,杜仲雄花的总还原能力最大,其IC50值为10.2 μg/mL;杜仲叶的ABTS+自由基清除能力和DPPH自由基清除能力最大,其IC50值分别为11.19,11.40 μg/mL。隶属函数法综合评价结果表明,杜仲叶的抗氧化效果最好,杜仲皮的抗氧化效果最弱。结论 杜仲树皮、叶及雄花的营养价值及抗氧化性存在差异,杜仲叶作为药食同源物质在未来食品原料的开发利用方面具有一定的营养学价值。
阿依加·马里克,萨拉麦提·艾迪热斯,塔吉古丽·阿不里克木,阿塔吾拉·铁木尔,古丽菲热·伊力哈木,尼格尔热依·亚迪卡尔
2025, 41(9):169-178. DOI: 10.13652/j.spjx.1003.5788.2024.81059
摘要:目的 以新疆酸李果实为原料,探究多酚类物质制备工艺优化及其抗氧化活性。方法 通过单因素和响应面Box-Behnken试验优化超声辅助复合酶法提取新疆酸李多酚类物质的最佳制备工艺条件。采用大孔树脂对新疆酸李多酚进行富集纯化,并考察纯化前后新疆酸李多酚的DPPH自由基、ABTS+自由基清除能力以及总抗氧化能力。结果 超声辅助复合酶法最佳提取工艺为果胶酶与纤维素酶质量比1∶2,酶添加量1.5%、料液比1∶29 (g/mL)、超声时间37 min、超声温度60 ℃,得到最佳多酚提取率(12.82±0.43) mg/g。经过静态吸附—解吸筛选出HPD-300为最优纯化树脂,其吸附达到平衡需要2 h、解吸达到平衡需要0.5 h;HPD-300大孔吸附树脂纯化新疆酸李多酚的最佳工艺条件为上样质量浓度100 mg/mL、上样液体积180 mL、吸附速率120 mL/h、洗脱剂(乙醇)体积分数60%,洗脱剂用量210 mL;经HPD-300大孔吸附树脂纯化后新疆酸李多酚对DPPH自由基和ABTS+自由基的IC50值是纯化前的43.16倍和16.00倍,总抗氧化能力也显著提高。结论 超声辅助复合酶法结合HPD-300大孔吸附树脂纯化可以有效地实现新疆酸李多酚的高效富集和提纯,并能显著提高新疆酸李多酚的抗氧化活性。
2025, 41(9):179-185. DOI: 10.13652/j.spjx.1003.5788.2024.81242
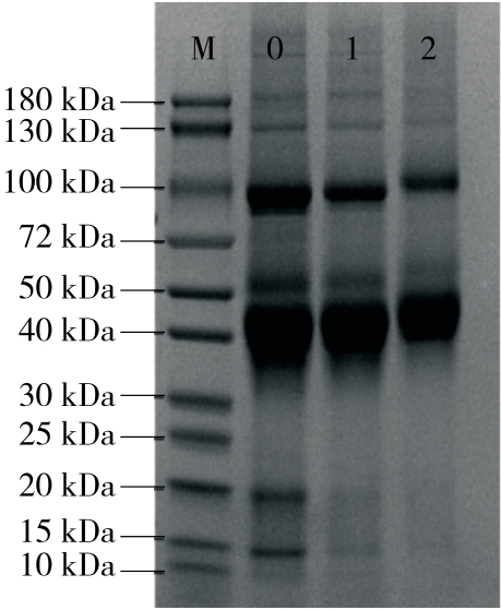
摘要:目的 优化青稞酒糟醇溶蛋白提取工艺,提高青稞酒加工副产物的附加值。方法 以青稞酒糟为原料,采用超声辅助乙醇法提取青稞酒糟醇溶蛋白,并以青稞酒糟醇溶蛋白得率为指标,分析不同料液比、超声温度、超声功率、超声时间4个因素对青稞酒糟醇溶蛋白得率的影响,通过正交试验优化提取工艺,从而确定最佳提取条件。采用SDS-PAGE分析蛋白相对分子质量分布,鉴定其为醇溶蛋白。以VC为对照,对青稞酒糟醇溶蛋白抗氧化活性(DPPH·、·OH的清除率和总还原能力)进行对比分析。结果 青稞酒糟醇溶蛋白的最佳提取工艺条件为料液比1∶16 (g/mL)、超声温度35 ℃、超声功率320 W、提取时间60 min,在此条件下,青稞酒糟醇溶蛋白得率为(18.50±0.020)%。SDS-PAGE电泳分析结果显示提取的蛋白相对分子质量主要分布在11~17和<11,进一步确定该蛋白为醇溶蛋白,其相对分子质量较小。体外抗氧化试验结果表明,青稞酒糟醇溶蛋白DPPH·、·OH的清除率及总还原能力均随抗氧化剂质量浓度的增加而增大,并在相同质量浓度下均弱于VC,当青稞酒糟醇溶蛋白质量浓度为10 mg/mL时,DPPH·、·OH的清除率分别为(54.00±0.020)%和(22.90±0.010)%,对Fe3+的还原能力在此质量浓度下达到最大值0.50±0.100。结论 优化工艺提取的青稞酒糟醇溶蛋白具有较好的体外抗氧化活性,有被开发为抗氧化剂的潜力。
2025, 41(9):186-195. DOI: 10.13652/j.spjx.1003.5788.2024.81224
摘要:目的 探究亚临界丁烷萃取沙棘籽油的提取效果及品质。方法 以提取率为评价指标,采用响应面法优化亚临界丁烷萃取沙棘籽油(Y-沙棘籽油)工艺条件,并对比分析超临界CO2萃取沙棘籽油(C-沙棘籽油)、超声辅助提取沙棘籽油(E-沙棘籽油)和传统溶剂提取沙棘籽油(S-沙棘籽油)的提取率、理化指标(酸价、过氧化值、碘值、皂化值、不溶性杂质)、脂肪酸组成、脂肪伴随物(维生素E、磷脂、生育酚、角鲨烯和甾醇)、总酚、总黄酮、DPPH自由基清除率、ABTS+自由基清除率和FRAP抗氧化能力等多维品质指标。结果 沙棘籽原料经超微粉碎结合轧坯预处理的提取率为78.97%,显著高于普通粉碎和超微粉碎预处理的。亚临界丁烷萃取沙棘籽油的最佳工艺参数为料液比1∶10 (g/mL),萃取时间64 min,萃取温度52 ℃,此条件下沙棘籽油提取率为95.21%,较C-沙棘籽油、E-沙棘籽油和S-沙棘籽油的分别提高了5.54%,3.21%,1.25%。Y-沙棘籽油的碘值最高、皂化值最低;沙棘籽油中的主要脂肪酸为亚油酸、α-亚麻酸和棕榈酸;Y-沙棘籽油的维生素E含量为182.5 mg/100 g,角鲨烯、总甾醇、总黄酮、总酚含量较高,DPPH自由基清除能力、ABTS+自由基清除能力和FRAP铁离子还原能力较强。结论 亚临界丁烷萃取所得沙棘籽油的理化性质较稳定,且营养活性物质含量较多,抗氧化能力强。
2025, 41(9):196-202. DOI: 10.13652/j.spjx.1003.5788.2024.81137
摘要:目的 减少采收香芋腐烂变质,提高香芋干燥品质。方法 分析了真空微波干燥(VMD)、热风干燥(HAD)、热泵干燥(HPD)、远红外辐射干燥(FIRD)4种干燥方式对香芋条干燥特性、物理特性(复水率、硬度、色差)、水分迁移和分布情况及微观结构的影响。结果 香芋干燥效率方面,VMD的自由水脱除时间最短,HAD和HPD的次之;色泽方面,L*值大小顺序为HAD>HPD>FIRD>VMD;硬度方面,VMD>FIRD>HPD>HAD;复水率方面,FIRD>HPD>HAD>VMD。微观结构显示,VMD和HAD香芋条表面收缩明显,结构更致密;FIRD和HPD香芋条表面结构较疏松,孔道较多。结论 HAD香芋条品质更佳。
2025, 41(9):203-208. DOI: 10.13652/j.spjx.1003.5788.2024.81213
摘要:目的 探究黑木耳多糖对黑木耳复水特性的影响。方法 采用热水浸提—超声辅助法提取黑木耳多糖,将去除多糖的黑木耳烘干至恒重后进行复水,测定其复水后的含水量、膨胀性、复水比以及质构特性、水分分布状态、微观结构,探究黑木耳中多糖含量对其复水性的影响。结果 黑木耳破碎程度与多糖去除率成正比,80~40目去多糖黑木耳的多糖去除率高于未去多糖黑木耳及20~16目去多糖黑木耳的,内部多糖含量较低,其含水量、膨胀性、复水比结果较差,且去多糖处理后的黑木耳与水分结合能力较差,细胞损伤严重。结论 黑木耳多糖具有提高黑木耳复水特性的功能。
2025, 41(9):209-217. DOI: 10.13652/j.spjx.1003.5788.2024.81133
摘要:食源性疾病已成为食品安全领域突出问题,快速、准确地对食品危害物进行检测是控制食源性疾病的关键环节。核酸适配体作为一种新型的生物识别分子,以其为识别元件构建快速、灵敏的生物传感器用于检测食品危害物已成为研究热点。然而,经指数富集配体系统进化技术筛选出的适配体与目标分子结合的亲和力和选择性还有待提升,不能很好地满足分析检测的需求。文章分析了影响适配体性能的内在因素,重点综述了核酸适配体的优化策略,介绍了核酸适配体在食品危害物检测中的具体应用,并展望了核酸适配体的发展趋势。
2025, 41(9):218-226. DOI: 10.13652/j.spjx.1003.5788.2024.81065
摘要:猴头菇作为药食同源真菌在中国有悠久历史,它不仅味道鲜美还富含多种活性成分。在越来越注重饮食健康的当下,猴头菇可作为均衡膳食的不错选择。文章综合前人研究成果,对猴头菇所含的萜类、酮类、麦角硫因、多糖等活性成分进行系统性汇总,对它们的具体种类及其成分具有的不同活性功能进行阐述总结,并对活性成分未来的发展作出展望。
2025, 41(9):227-232. DOI: 10.13652/j.spjx.1003.5788.2025.60132
摘要:文章首先解读了家国情怀的本质是一种命运与共的共同体意识,可通过丰富的设计元素形成可感知的表达。引入“集体无意识”与“品牌原型”理论,推衍出食品包装设计对“家国情怀”品牌原型从“符号—功能—叙事”的3个维度的表达路径。以娃哈哈食品包装为例系统解析,验证“符号触发—功能赋能—叙事建构”表达策略如何激活并具象化品牌原型。指出民族品牌可以通过爱国主义视觉符号、社会责任导向的功能设计以及民族文化叙事,激发消费者潜意识中的“家国”原型,实现品牌与消费者共鸣与认同。
2025, 41(9):233-241. DOI: 10.13652/j.spjx.1003.5788.2025.60127
摘要:针对当前包装设计中传统纹样应用浅表化、同质化的问题,以长沙窑植物纹样为文化载体,引入胡塞尔图像意识理论,探索其创新应用路径,实现从视觉装饰到文化意象的升华,为现代包装设计注入深厚的文化内涵与情感价值。首先依据图像意识三层次理论解读纹样文化内涵;继而构建系统设计方法:运用层次分析法筛选代表纹样,采用分层组合设计方法进行纹样创新,结合KANO模型调研用户多感官需求并指导食品包装实践,完成文化意象的当代转译。胡塞尔图像意识理论为传统纹样设计提供了有效的框架,通过上述方法可系统地实现长沙窑纹样从文化资源到设计意象的转化。
2025, 41(9):242-248. DOI: 10.13652/j.spjx.1003.5788.2025.60107
摘要:地域文化在食品包装设计中的表达,不仅有助于提升食品自身的竞争力、增强消费者的情感认同,对传统地域文化的传承也有重要意义。文章在阐明地域文化与食品包装设计融合重要意义的基础上,指出当前地域文化融入食品包装设计过程中存在的现实问题,并提供了提取地域文化表象、转译地域文化意象、完成地域文化符号设计、结合现代设计手段的实践路径。
今日访问
您是本站第 访问者 
通信地址:湖南省长沙市天心区万家丽南路二段960号
电话:0731-85258200 E-mail:foodmm@ifoodmm.com 邮编:410114
技术支持:北京勤云科技发展有限公司
版权所有:食品与机械 ® 2026 版权所有

快速检索
友情链接