2025, 41(11):1-8. DOI: 10.13652/j.spjx.1003.5788.2025.80437
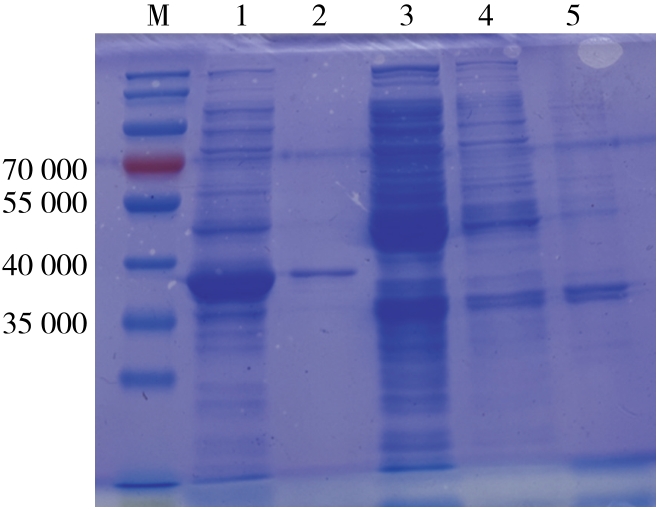
摘要:目的 获得重组原肌球蛋白(tropomyosin,TM)。方法 先从National Center of Biotechnology Information(NCBI)数据库获得TM同源蛋白的基因序列,并据此设计特异性引物,再以凡纳滨对虾虾肉cDNA为模板,PCR扩增并测序分析了凡纳滨对虾TM编码基因序列,最后利用大肠杆菌异源重组表达载体pET29a,构建了凡纳滨对虾TM的原核重组表达体系。结果 RNA样品经琼脂糖凝胶电泳后,条带清晰明亮、泳道无弥散区,cDNA样品在300 bp左右有清晰条带,说明该研究成功提取了结构完整的凡纳滨对虾虾肉总RNA样品并反转录合成了cDNA。PCR结果表明,凡纳滨对虾TM编码基因在900 bp处有单一条带,基因序列Blast比对结果显示克隆的TM编码基因与已知凡纳滨对虾TM编码基因高度同源(99.77%)。该研究进一步构建了TM重组表达载体pET29a-TM,SDS-PAGE结果显示其在表达宿主菌中高效表达了目标蛋白,获得了相对分子质量约为3.7×104的可溶性重组TM蛋白条带。结论 该研究克隆了凡纳滨对虾TM编码基因并构建其原核表达体系,高效地获得了可溶性重组TM蛋白。
2025, 41(11):9-20. DOI: 10.13652/j.spjx.1003.5788.2025.60126
摘要:目的 探究黑大豆副产物——黑豆壳多酚的功能特性及其在面包中的应用。方法 利用超声辅助溶剂法提取黑豆壳多酚粗提物,从中分离出了游离多酚和结合多酚,并分析其对面包淀粉消化特性的调控作用。结果 从黑豆壳多酚中得到的游离态和结合态多酚含量分别为20.42,9.47 mg GAE/g,其中游离多酚对ABTS自由基、DPPH自由基清除率分别达88.85%,80.04%。添加0.25%多酚可使面包芯、皮的快消化淀粉含量从43.75%和40.23%降至31.25%和27.93%,抗性淀粉升至45.32%和50.59%。分子对接显示,黑豆壳多酚中绿原酸等成分与α-葡萄糖苷酶通过氢键与疏水作用实现竞争性—非竞争性的混合抑制。结论 黑豆壳多酚可通过抑制α-葡萄糖苷酶活性及改变淀粉结构双重路径延缓面包消化。
2025, 41(11):20-27. DOI: 10.13652/j.spjx.1003.5788.2025.80026
摘要:目的 研究不同产地余甘子提取率影响因素、特征香味成分以及余甘子提取物稳定性。方法 以广东、云南、江西和四川4个产地的5种余甘子作为原料,采用正交试验考察不同因素对余甘子提取率的影响,通过气质分析以及相似度计算比较不同产地余甘子提取物的特征香味成分,并从外观、相对密度、糖度等方面对余甘子提取物的稳定性进行研究。结果 不同产地中云南产的干余甘子提取率最高,且溶剂和料液比两个因素对余甘子提取率有较大影响。气质分析结果表明,广东产余甘子提取物的特征香味成分包括糠醛、糠醇、吡喃二酮、5-羟甲基糠醛、棕榈酸乙酯等,云南产余甘子提取物的特征香味成分为3-甲基-2-糠酸和邻苯二甲酸二丁酯,且两者相似度仅为0.943 6。结论 5种余甘子提取物均表现出显著的果甜香韵,但不同产地不同种类余甘子的特征香味成分差异较大,且余甘子提取物在一定时间内具有较好的保存和使用稳定性。
2025, 41(11):28-34. DOI: 10.13652/j.spjx.1003.5788.2025.80052
摘要:目的 基于矿物元素指纹分析实现湖南主产区黄金茶早春绿茶的产地判别。方法 采用电感耦合等离子体质谱(ICP-MS)对138份湖南不同产地黄金茶早春绿茶样品中的48种矿物元素进行定量检测,结合主成分分析(PCA)、正交偏最小二乘判别分析(OPLS-DA)以及Fisher线性判别分析,建立不同产地黄金茶的分类识别模型。结果 PCA得分投影图与OPLS-DA模型能够有效区分湖南各产区黄金茶早春绿茶;通过Fisher线性判别分析将筛选出的Ba、Al、B、Sm、K、Ga、Te、Rb、Co、Eu 10种关键元素构建产地判别模型,所构建的模型整体预测准确率>90%。结论 矿物元素指纹可有效应用于湖南主产区黄金茶的产地溯源。
2025, 41(11):35-40. DOI: 10.13652/j.spjx.1003.5788.2025.80124
摘要:目的 通过优化超声辅助酶解方法,建立超高效液相色谱—串联质谱法(UPLC-MS/MS)同时检测禽蛋中叶黄素、天然VK同系物叶绿醌(VK1)、四烯甲萘醌(MK-4)、七烯甲萘醌(MK-7)和九烯甲萘醌(MK-9)的检测方法。方法 禽蛋样品经超声辅助酶解后萃取出目标化合物,经C18色谱柱( 100 mm×2.1 mm,3.0 μm)分离,0.1%甲酸水溶液—0.1%甲酸甲醇溶液为流动相,梯度洗脱,APCI源检测分析,外标法定量。结果 超声辅助酶解加酶量为1 500 U,酶解时间为1 h,叶黄素和天然VK同系物在1.0~5 000.0 ng/mL范围内线性关系良好,相关系数R2>0.996。检出限为0.8~1.5 μg/100 g,定量限为2.0~5.0 μg/100 g。在加标质量浓度为10,20,100 μg/100 g时,平均加标回收率为80.1%~94.9%,相对标准偏差为1.3%~5.5%。结论 该法检测效率高,灵敏度高,选择性强,可作为禽蛋中叶黄素和天然VK同系物检测方法。
2025, 41(11):41-44. DOI: 10.13652/j.spjx.1003.5788.2025.60144
摘要:从中国危害食品安全的刑法治理实践及其效能来观察,中国危害食品安全的刑法规制目前存在的主要缺陷具体表现为罪名设置的章节归属不够合理、罪过形式对过失犯的规定处于空白状态、刑罚配置的资格刑设置缺失及禁止令适用缺乏刚性。对此,文章从合理确定罪名设置的章节归属、科学增设过失犯罪的具体规定、优化刑罚配置中资格刑和禁止令的制度设计等方面,对目前危害食品安全刑法规制的缺陷进行了完善。
2025, 41(11):45-49. DOI: 10.13652/j.spjx.1003.5788.2025.60145
摘要:民法典、消费者权益保护法、食品安全法均对食品领域刑事附带民事公益诉讼中惩罚性赔偿金制度作出具体规定,但仍存在惩罚性赔偿金计算基数不够明确、惩罚性赔偿金数额缺乏足够的合理性、惩罚性赔偿金与刑事罚金、行政罚款的衔接不畅、惩罚性赔偿金管理与使用机制欠缺等困局。对此,可以从清晰界定惩罚性赔偿金计算的基数、合理确定惩罚性赔偿金的数额、健全惩罚性赔偿金与刑事罚金、行政罚款的衔接机制、优化惩罚性赔偿金的管理与使用机制等维度突破目前的困局。
2025, 41(11):50-57. DOI: 10.13652/j.spjx.1003.5788.2025.80115
摘要:目的 探究自激热声振荡对固体食品干燥过程的强化作用。方法 设计一种基于Rijke管谐振结构的脉动热风干燥装置,以白萝卜片为研究对象,考察热风温度(100~140 ℃)、气流流速(1~7 m/s)及料层厚度(4~12 mm)对干燥动力学与产品品质的影响。结果 该装置可稳定产生温度140 ℃、频率147 Hz、声压级94 dB的自激脉动气流,较传统非脉动干燥效率显著提升:在100 ℃工况下,干燥时间由165 min缩短至135 min(降幅18%),且随温度升高强化效果增强(140 ℃时干燥速率提升3倍);在优化参数组合(温度100 ℃、风速1 m/s、料厚8 mm)下,白萝卜片收缩率(67%)、复水比(4.66)及白度(70.18)均优于传统干燥的。结论 热声振荡通过周期性扰动减薄传热边界层,显著强化热质传递效率,同时减少高温对物料结构的破坏。
2025, 41(11):58-67. DOI: 10.13652/j.spjx.1003.5788.2025.80180
摘要:目的 探索新的蒸馏设备,改良传统的蒸馏设备蒸馏温度过高使酒液产生焦糊味的不良影响。方法 以实验室自制的3种低温蒸馏与壶式蒸馏设备对红枣酒进行蒸馏,利用气相色谱—质谱联用技术(GC-MS)分析粗馏红枣酒中挥发性成分。结果 粗馏红枣酒中共鉴定出74种化合物,其中酯类44种、醇类8种、酸类5种、醛类6种、酮类4种、其他类7种;建立的OPLS-DA模型分类预测准确率为95.0%,并通过VIP>1筛选出13种差异性挥发性成分;采用ROAV值分析出9种关键香气成分(1≤ROAV≤100),反映不同粗蒸馏酒之间香气物质存在一定差异。结论 从物质含量上看,低温蒸馏设备粗蒸馏酒所产生的酯类、醇类物质明显多于壶式蒸馏设备;酮酸类物质的产生少于壶式蒸馏设备粗蒸馏酒;低温蒸馏与高温蒸馏的酒液从感官评价上看具有一定的差异。
2025, 41(11):68-75. DOI: 10.13652/j.spjx.1003.5788.2025.60068
摘要:目的 进一步提高食品生产的智能化水平,解决现有食品分拣Delta机器人在实际应用中灵活性不足、作业精度欠佳的问题,提升食品生产线的整体效率与产品质量稳定性。方法 在食品智能化生产系统的基础上,提出一种融合多目标轨迹优化与模糊自适应滑膜控制的食品智能化生产机器人轨迹优化和跟踪方法。首先,建立多目标(运行能耗和作业时间)优化模型,通过改进粒子群算法进行求解,生成兼顾效率与能耗的最优运动轨迹。接着,通过模糊自适应控制对优化后的轨迹进行实时跟踪控制,确保机器人在复杂工况下的运动精度。最后,通过搭建食品分拣试验平台,对所提方法的性能进行验证。结果 与传统轨迹控制方法相比,所提方法使机器人运行能耗降幅>3%,单次作业时间缩短>3%,轨迹跟踪误差<0.5 mm,且在面对食品形状差异、传送带速度波动等复杂场景时,仍能保持稳定的作业精度和灵活性。结论 通过多目标轨迹优化与模糊自适应控制的协同应用,所提方法有效解决了现有食品生产机器人灵活性低、精度差的问题,大幅降低了运行能耗并缩短了作业时间。
2025, 41(11):76-83. DOI: 10.13652/j.spjx.1003.5788.2024.81250
摘要:目的 实现对猪胴体不易区分、相对较小的分割特征的准确、高效检测。方法 通过在Backbone层中引入GhostConv模块和C3Ghost模块替代原有YOLOv8n特征提取网络中的普通卷积和C2模块,以减少计算量,降低模型复杂度;将SPPF模块替换为SPPELAN模块,使模型能更有效应对多尺度和小目标特征;最后在3个检测头前面引入无参数注意力SimAM,提高复杂环境下对下猪胴体小目标特征的识别能力。结果 改进YOLOv8n模型在自制数据集上的mAP50为97.3%,相较原始YOLOv8n提高了5.3%的精度。改进模型的参数量Params和计算量FLOPs分别为1.5 M和4.9 G,模型大小为3.5 MB,仅为YOLOv8n的50.0%,60.5%,55.6%。模型推理速度为120.2帧/s,提高了20.7帧/s。结论 改进YOLOv8n模型在检测精度与轻量化方面具有优势,可以有效识别猪胴体的小目标分割特征。
2025, 41(11):84-90. DOI: 10.13652/j.spjx.1003.5788.2025.80003
摘要:目的 解决传统预制薯条生产中残次品人工检测速度慢、效率低,易漏检、误检的问题,提高缺陷残次品的识别准确度和速度,保证安全生产。方法 提出了一种基于YOLOv8n改进的识别算法EISW-YOLOv8n。通过在网络中引入EMCA通道注意力机制,突出重要通道信息;为了提高模型对特征的提取能力以及捕获特征中的长距离依赖关系的能力,在C2f模块中引入由SWC卷积优化过的iRMBS模块;引入WIOU损失函数,增强预测框的定位精度以及模型的收敛速度。结果 提出的模型对于预制薯条缺陷检测的平均精度达到94.3%。与原始YOLOv8n模型以及常见的目标检测算法相比,该网络表现出了优越的性能。结论 EISW-YOLOv8n能够满足识别预制薯条的表面缺陷的需求。
2025, 41(11):91-100. DOI: 10.13652/j.spjx.1003.5788.2025.80545
摘要:目的 为替代化学防腐剂,开发基于天然抑菌剂Surfactin与芳樟醇的休闲豆干保鲜工艺。方法 以枯草芽孢杆菌为指示菌,测定Surfactin与芳樟醇的最小抑菌浓度(MIC),以菌落总数、感官评分为评价指标进行单因素和响应面试验优化芳樟醇协同Surfactin对休闲豆干的最佳保鲜工艺参数,并分析贮藏期内休闲豆干品质变化。结果 芳樟醇的最小抑菌体积分数为1.95 μL/mL,Surfactin的最小抑菌质量浓度为125 μg/mL,芳樟醇协同Surfactin对休闲豆干最优保鲜工艺参数为Surfactin质量浓度187.5 μg/mL、芳樟醇体积分数2.2 μL/mL、处理时间30 min、料液比1∶3 (g/mL),该条件下休闲豆干在25 ℃下的货架期由2周延长至4周,4 ℃下可实现4周内菌落总数低于检测限,显著减缓了蛋白质(降幅减少4.09%)和脂肪(降幅减少6.97%)的降解,抑制了丙二醛生成(较对照组减少19.9%)。结论 芳樟醇协同Surfactin能高效抑菌并延缓休闲豆干品质劣变。
2025, 41(11):101-108. DOI: 10.13652/j.spjx.1003.5788.2025.80098
摘要:目的 开发新型包装膜,延长果蔬货架期,提高金针菇利用水平。方法 以金针菇水提取物作为还原剂,聚乙烯醇(PVA)为分散剂,硝酸银溶液作为银来源绿色制备纳米银(AgNPs),制备具有疏水表面的PVA-AgNPs复合膜,并用于猴头菇保鲜。结果 AgNPs的最佳制备条件为pH 13、金针菇水提取物添加量2 g、PVA添加量2 g、硝酸银溶液终浓度0.20%、微波时间60 s。FT-IR、SEM、TEM、XRD及接触角分析显示制备的AgNPs有明显的标准银晶态衍射峰,与成膜基质PVA之间存在作用力,并较好地分散在其中。制备的复合膜成功构建了疏水表面,其接触角为137.3°。结论 通过猴头菇贮藏期间的失重率、维生素C含量、褐变度、过氧化物酶(POD)和过氧化氢酶(CAT)的测定,制备的PVA-AgNPs复合膜可以提高猴头菇保鲜贮藏品质,显示出较好的保鲜效果,具有潜在应用前景。
2025, 41(11):109-117. DOI: 10.13652/j.spjx.1003.5788.2025.80043
摘要:目的 提高黑青稞多酚利用率及抗氧化活性。方法 以黑青稞为原料,采用超声波(UT)、微波(MT)、紫外(UVT)3种方式处理黑青稞,对比黑青稞的基本营养成分、酚类物质含量、组成及抗氧化活性差异。结果 与未处理相比,经3种方式处理后黑青稞的脂肪含量显著增加(P<0.05),而纤维含量显著降低(P<0.05)。3种方式处理的黑青稞总酚及总黄酮含量均显著提高(P<0.05),分别为未处理组的1.03~1.19倍和1.24~1.46倍,其中UT处理可显著提高青稞多酚含量,总酚和总黄酮含量分别提高了18.72%和46.22%。UVT处理黑青稞主要增加的酚类物质组分为羟基肉桂酸类及黄酮醇类,UT处理主要增加的酚类物质组分为黄酮类及黄烷醇类,MT处理主要增加的酚类物质组分为羟基苯甲酸类。3种处理黑青稞的抗氧化活性指数(APC)由强到弱依次为UT(99.94%)>UVT(93.35%)>MT(82.91%)>CK(74.10%),且酚类化合物与抗氧化活性之间存在较强的相关性。结论 UT处理黑青稞的酚类物质含量及抗氧化活性最高。
2025, 41(11):118-128. DOI: 10.13652/j.spjx.1003.5788.2024.81143
摘要:目的 研究重组鹅肝制品的品质评价方法及营养评价方法。方法 以鹅肝为原料,复配鸡胸肉并添加木薯淀粉、大豆分离蛋白、谷氨酰胺转胺酶(TG酶)等辅料制备重组鹅肝。采用CRITIC-灰色关联法对不同配方重组鹅肝的色度、熟化损失及质构特性进行综合评分,筛选出最佳配方,考察其营养指标并对其进行营养评价。结果 当鹅肝含量为15%、鸡胸肉含量为85%、TG酶含量为1.25%、木薯淀粉含量为10%、大豆分离蛋白含量为2.5%时,重组鹅肝的综合得分最高,为208.93分。重组鹅肝水分、蛋白质、脂肪含量分别为64.86,18.13,0.85 g/100 g;共检出14种脂肪酸,其中9种不饱和脂肪酸,5种饱和脂肪酸且含有亚油酸、α-亚麻酸和花生四烯酸,脂肪酸致动脉粥样硬化指数(AI值)和血栓形成指数(TI值)均<0.5;必需氨基酸总量/氨基酸总量(EAA/TAA)为43.25%,必需氨基酸总量/非必需氨基酸总量(EAA/NEAA)为76.22%,第一限制性氨基酸为蛋氨酸。结论 通过CRITIC-灰色关联分析法对重组鹅肝的品质进行评价,可以反映重组鹅肝的品质特性。重组鹅肝属于高蛋白、低脂肪的食品,适合心脑血管疾病患者食用,其氨基酸组成合理,属于优质蛋白质。
2025, 41(11):129-135. DOI: 10.13652/j.spjx.1003.5788.2024.80753
摘要:目的 旨在探讨同笼饲养方式下黑木耳蛋白多糖复合物(PPC)对小鼠排铅的调控作用。方法 选择60只昆明小鼠随机分为:空白对照组(NC)、染铅模型组(Pb)、PPC组、染铅组和PPC同笼饲养组(Co-Pb+Co-PPC组),饲养8周后,以全自动血细胞分析仪测定红细胞和血红蛋白的浓度;ICP-MS测定小鼠全血、小肠、粪便中铅的含量;ELISA试剂盒用来检测血清中脂多糖(LPS)含量及小肠溶菌酶、β-防御素和sIgA的水平。结果 与NC组比,Pb组血铅、小肠铅、粪便铅及LPS含量显著升高(P<0.05);红细胞数量、血红蛋白浓度、溶菌酶、β-防御素、sIgA含量显著下降(P<0.05);与Pb组比,Co-Pb组血铅、小肠铅含量显著下降(P<0.05),血红蛋白浓度和粪便铅含量显著升高(P<0.05);红细胞数量、溶菌酶含量、β-防御素、sIgA含量升高,差异不明显;PPC、Co-PPC组LPS、血铅、小肠铅含量均显著下降(P<0.05),血红蛋白浓度、粪便铅含量、溶菌酶、β-防御素、sIgA含量显著升高(P<0.05),红细胞数量差异不明显。结论 PPC可以促进小鼠排铅和改善血液和小肠状况。
2025, 41(11):136-143. DOI: 10.13652/j.spjx.1003.5788.2025.80078
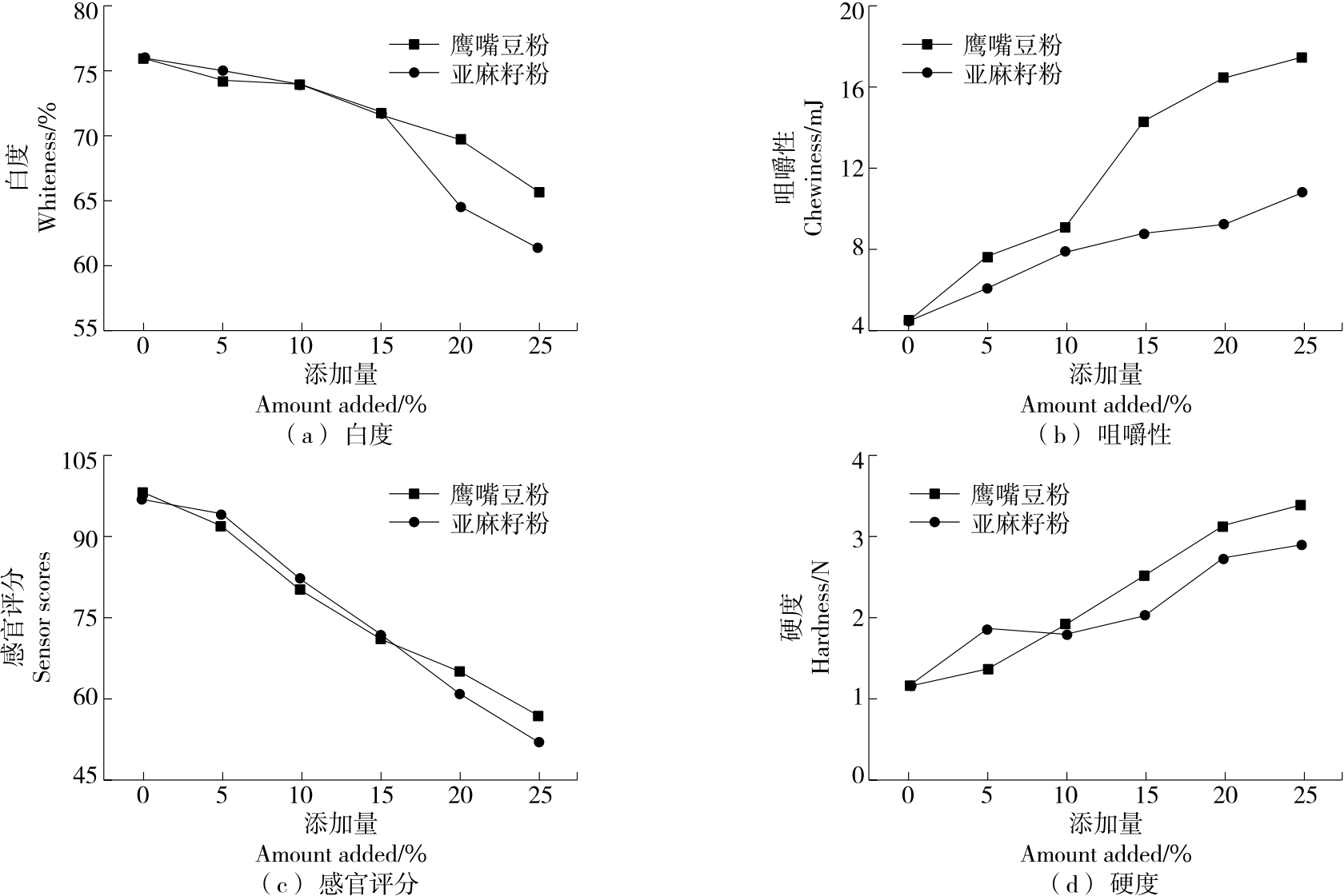
摘要:目的 开发具有营养强化和风味提升功能的新型米发糕,实现传统米发糕的健康化改良。方法 以粳米粉为基质,辅以植物乳杆菌和酿酒酵母菌协同发酵。通过单因素试验结合主成分分析法优化亚麻籽粉(7%)与鹰嘴豆粉(5%)复配比例,系统评估改良配方对产品品质、营养组成、体外消化特性、抗氧化活性及风味特征的影响。结果 改良后米发糕在保持色泽白度的同时,总酚含量提升了3倍,DPPH自由基和ABTS+自由基清除率分别提高了2倍;慢消化淀粉与抗性淀粉显著增加,体外消化估计血糖升糖指数(eGI)降至53.758,达到低升糖指数食品标准。营养指标显示蛋白质含量增加1.105 g/L,胆固醇、淀粉含量显著降低。GC-MS结合OPLS-DA分析表明,配方改良有效降低了发酵酸味,新增异丁醇等特征风味物质。结论 亚麻籽粉—鹰嘴豆粉复配技术可显著提升米发糕的营养价值与抗氧化特性,优化消化代谢性能并改善其风味特征。
2025, 41(11):144-151. DOI: 10.13652/j.spjx.1003.5788.2024.81236
摘要:目的 以8种大米包括粳米与籼米为研究对象,经过工业化微波生产线熟化加工,制成常温盒装方便米饭,并评价其食味品质。方法 检测原料米的组成成分、蒸煮品质、糊化特性,结合微波加工后米饭的食味值、质构特性、感官评分、微观结构等,评价不同米种的食味品质。结果 不同大米品种的性质存在显著差异,与籼米相比,粳米的蛋白质平均值含量低0.76 g/100 g,直链淀粉平均值低0.85 g/100 g,米汤干物质平均值高4.27 mg/g,碘蓝值高0.21,糊化温度平均值低3.39 ℃,回生值平均值低74.5 Pa·s,稀懈值平均值低145 Pa·s,粳米更易糊化,且热糊化稳定性更好,不易回生。经微波熟化加工后,粳米米饭比籼米米饭的硬度平均值高9.77 N,黏度平均值高2.28 N,米饭食味值平均值高6.87分、感官评分高2.73分,综合米饭食味值与感官评分,粳米中的龙粳31表现最好,其微观结构呈孔隙较均匀的蜂窝状。结论 工业化微波加工盒装方便米饭食味品质良好,粳米比籼米更适合用于微波加工。
2025, 41(11):152-159. DOI: 10.13652/j.spjx.1003.5788.2024.80825
摘要:目的 利用微生物固态发酵提高芡实功能性成分的转化效率。方法 以芡实为原料,以总黄酮和总多酚含量为指标,筛选出优势菌种,再用优势菌进行正交试验,探究发酵温度、发酵时间、料液比、接种量和碳源添加量对发酵后芡实活性成分的影响,并以DPPH自由基清除率、总抗氧化性和ABTS自由基清除率为指标分析芡实的体外抗氧化活性。结果 优势菌为黑曲霉H,最优发酵工艺条件为发酵时间5 d、发酵温度35 ℃、料液比1∶2 (g/mL)、接种量11%、碳源添加量2%,此条件下总黄酮含量为9.036 mg/g,比发酵前的提高了6.24倍,总多酚含量为109.284 mg/g,比发酵前的提高了4.68倍。芡实发酵后对DPPH自由基、ABTS自由基清除率的IC50分别为0.023,0.024 mg/mL。维生素C阳性对照对铁离子的还原能力与发酵后的基本相同,且高于发酵前的。结论 利用微生物对芡实原料进行发酵可有效提升其活性成分含量和抗氧化能力,具有良好的应用前景。
2025, 41(11):160-167. DOI: 10.13652/j.spjx.1003.5788.2024.81071
摘要:目的 采用大孔树脂脱除海带浆中的腥味挥发性物质。方法 以顶空固相微萃取/气相色谱—质谱(HS-SPME/GC-MS)分析结果作为指标,探讨大孔树脂种类、脱腥温度和脱腥时间对海带浆脱腥效果的影响;通过电子鼻分析海带浆经大孔树脂脱腥前后的气味差异性。结果 采用AB-大孔树脂对海带浆进行脱腥,大孔树脂添加量为7.3%、脱腥时间为2 h、脱腥温度为51 ℃时,大孔树脂对海带浆的脱腥效果最佳,海带浆中醇类、醛类和酮类挥发性物质的脱除率分别为44.98%,47.10%,30.31%,其中腥味物质的去除率为51.6%。电子鼻检测结果显示海带浆进行大孔树脂脱腥前后的风味有明显差异。结论 AB-8大孔树脂能有效脱除海带浆中的腥味物质并改善海带浆的风味。
2025, 41(11):168-176. DOI: 10.13652/j.spjx.1003.5788.2024.80556
摘要:目的 探究辣椒炒制时间对红油辣椒挥发性风味物质的影响。方法 采用感官评价、电子鼻、气相色谱—质谱(GC-MS)测定不同炒制时间的辣椒(0,30,45,60,75,90 s)制备的红油辣椒感官特性、色差、挥发性化合物的差异,并结合相对气味活度值(ROAV)、偏最小二乘法(PLS-DA)分析6种红油辣椒的关键风味化合物。结果 不同炒制时间的辣椒制备的红油辣椒其整体风味具有明显差异;经过GC-MS共鉴定出63种挥发性化合物;通过ROAV分析,红油辣椒整体香气主要由油脂香、可可香、洋葱香构成;通过PLS-DA共筛选出24种差异挥发性化合物,醇类、醛类是主要的差异挥发性化合物。结论 炒制时间对红油辣椒的色差、感官特性与挥发性风味物质影响较大,炒制60 s的辣椒制备的红油辣椒风味整体较佳,可直接用于后续的生产加工。
2025, 41(11):177-183. DOI: 10.13652/j.spjx.1003.5788.2025.80585
摘要:目的 探究胡麻油—玉米油复配比例对桃酥品质的影响。方法 通过梯度试验分析桃酥的感官特性和理化特性,采用感官评价、质构仪、电子鼻及气相色谱—质谱联用等方法,结合水分、酸价和过氧化值测定,综合评价不同配比下桃酥的品质。结果 当胡麻油—玉米油配比为1∶1时,桃酥的感官评分最高为82.8,其色泽金黄(L*、b*值突出),香气浓郁,质构均衡,水分均一性优良,半结合水比例最高,可有效强化胡麻油特征风味。氧化稳定性分析表明,当胡麻油—玉米油配比>1∶1时,桃酥的酸价和过氧化值增速显著。结论 胡麻油—玉米油的最适配比为1∶1,可在保留桃酥传统风味的同时提升其营养价值。
2025, 41(11):184-191. DOI: 10.13652/j.spjx.1003.5788.2025.80051
摘要:马克斯克鲁维酵母(Kluyveromyces marxianus)是一种GRAS级别的真菌微生物,以其生产常规及特殊酶的能力以及作为特定酶表达载体的功能而著称。在食品工业领域,K. marxianus作为发酵剂,不仅能有效控制发酵过程,还能显著提升发酵食品品质。文章系统分析了K. marxianus的微生物学特性,对其在果蔬、乳制品、谷物、肉制品及酒类等发酵产品中的应用进行了综述,并对其在未来食品工业中的潜在应用进行了展望。
2025, 41(11):192-198. DOI: 10.13652/j.spjx.1003.5788.2024.81045
摘要:近年来,植物蛋白因其来源广泛、营养价值高、价格低廉、环境污染小等优点成为健康食品原料。竹笋蛋白资源丰富,氨基酸组成平衡,具有良好的溶解性、持油性、发泡性、抗氧化活性和抗肿瘤活性等,在预防治疗心血管、癌症等疾病上发挥着重要作用。然而,在传统加工模式下竹笋从采收到产品会产生大量不可食用的副产物且被丢弃,而且竹笋复杂的高纤维结构也严重阻碍了竹笋蛋白的提取。文章综述了竹笋蛋白的提取方法、生理活性及应用等研究进展,重点总结了竹笋蛋白的现有提取方法的优缺点,并指出了未来竹笋蛋白的研究挑战。
2025, 41(11):199-208. DOI: 10.13652/j.spjx.1003.5788.2024.81291
摘要:葛仙米作为一种药食同源的淡水野生蓝藻,因独特的营养价值和多种生物活性而备受关注。葛仙米含有多糖、蛋白质、氨基酸、脂肪酸、维生素以及矿质元素等多种营养成分,具有抑菌、抑癌、降脂和抗氧化等功效。文章对葛仙米多糖的提取方法、结构特征、生物活性及应用进行了系统的综述,并对其未来研究方向进行了展望。
2025, 41(11):209-214. DOI: 10.13652/j.spjx.1003.5788.2024.81148
摘要:茶籽油因其高营养价值和经济价值,常被掺入廉价油脂,同时其品质也受到品种、产地及提取工艺等因素的影响。文章系统综述了茶籽油掺伪检测技术体系的主要分析指标,重点探讨了其感官特性、理化特性、谱学识别特征及与其他方法的比较。并从辨识指标、采集手段及判别逻辑的综合视角出发,概述了以光纤光谱仪为代表的便携化紫外光谱仪器在技术性能与应用范围方面的研究进展。
2025, 41(11):215-224. DOI: 10.13652/j.spjx.1003.5788.2024.81107
摘要:目的 提高白酒包装缺陷检测准确率。方法 提出了一种基于改进YOLOv8n的检测模型。在模型中引入ADown模块,有效减少了模型的参数量和计算量,同时保持了原有的特征提取能力;通过将大型可分离核注意力(LSKA)融入快速空间金字塔池化(SPPF)结构,进一步提升了模型对多尺度特征的捕捉和提取能力;将原有的CIOU损失函数替换为Inner-WIoU损失函数,将Inner-IoU与Wise-IoU相结合,在提升检测精度的同时加快模型收敛速度。结果 在自制的白酒包装数据集上,改进后的YOLOv8n模型平均精度达86.4%,较原始模型提升了5.2%,参数量减少了4.9%,计算量降低了6.6%。结论 该模型能够满足对白酒包装的实时检测要求。
2025, 41(11):225-233. DOI: 10.13652/j.spjx.1003.5788.2025.80307
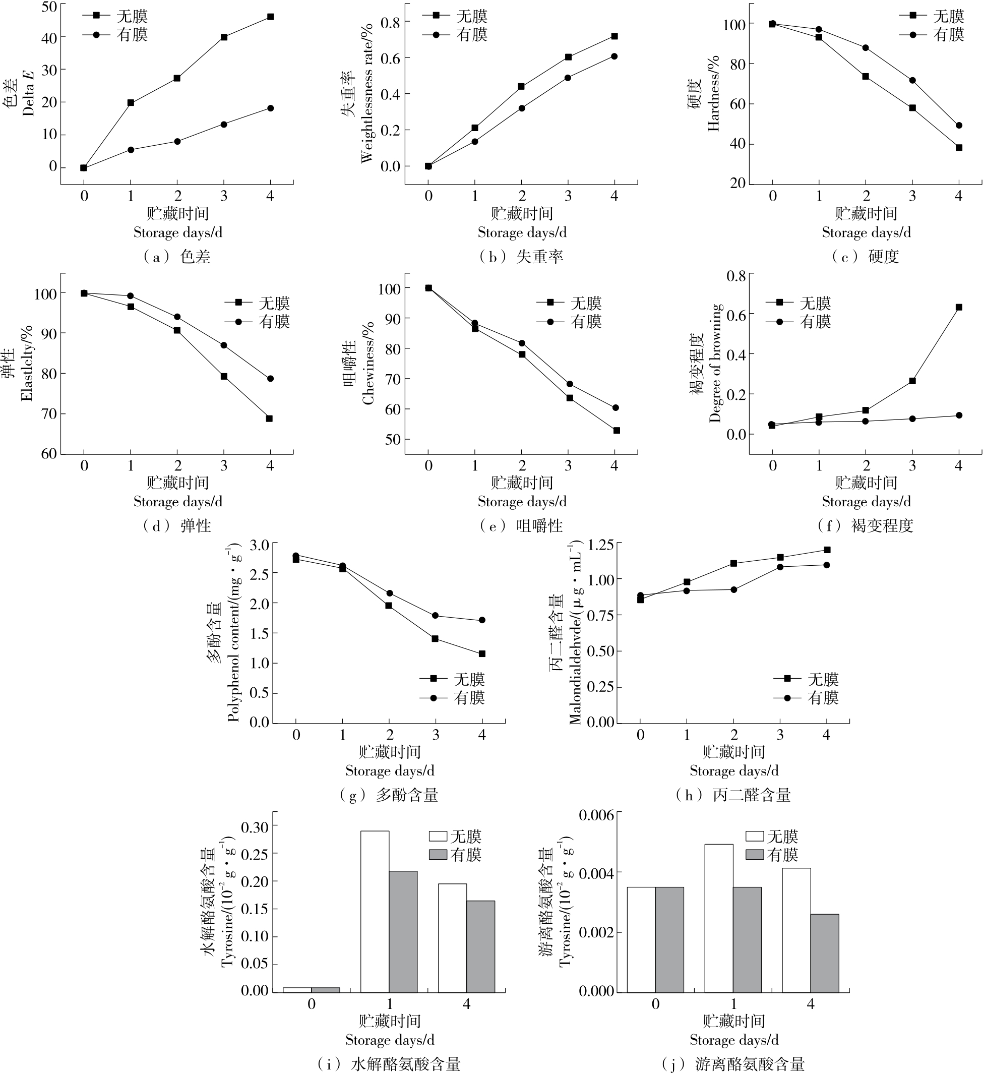
摘要:目的 通过溶液流延法开发一种基于大豆分离蛋白(SPI)、浓缩乳清蛋白(WPC)与牛蒡多糖(Arctium lappa L. polysaccharide,ALP)的活性食用薄膜。方法 通过对复合膜的表面形貌、拉伸强度(TS)、断裂伸长率(EAB)、水溶性(WS)、水分含量(MC)和水蒸气透过率(WVP)以及透光率进行表征,系统考察不同ALP配比对复合膜性能的影响,筛选出最优配比的复合膜,并进一步分析其在羊肚菌保鲜中的应用效果。结果 当SPI/WPC与ALP质量比为1.0∶0.2时,SPI/WPC/ALP薄膜的机械性能、阻隔性以及透光性能显著提高(P<0.05)。此外,在羊肚菌保鲜试验中,SPI/WPC/ALP薄膜减少了羊肚菌酚类物质流失,降低了酪氨酸含量与丙二醛(MDA)含量,有效缓解了褐变程度,提升了羊肚菌品质,延长了保鲜时间。结论 SPI/WPC/ALP复合膜可能是一种很有前途的环保包装材料,可应用于食用菌保鲜。
2025, 41(11):234-240. DOI: 10.13652/j.spjx.1003.5788.2025.60136
摘要:非物质文化遗产(非遗)手工艺作为中华传统文化的重要载体,在食品包装中具有独特的文化内涵价值与情感表达力。然而,对于非遗手工艺的应用仍普遍存在文化内涵表层化、包装展示静态化、包装互动性不足等问题。文章立足非遗手工艺的文化内涵,结合当代食品包装设计的审美逻辑,提出文化感知—互动体验—情感归属3层融合策略路径,并构建包括符号重构、媒介适配与情感嵌入在内的系统化设计方法。通过运用生成式人工智能(AIGC)、增强现实技术(AR)及数字设计技术等智能视觉技术手段,完成食品包装实践设计,并验证了融合策略的应用可行性。
2025, 41(11):241-248. DOI: 10.13652/j.spjx.1003.5788.2025.80002
摘要:文章阐述了现阶段中国果蔬产业所面临的难题与挑战,提出了果蔬包装功能延伸设计的解决策略;通过系统分析国内外果蔬包装功能延伸的理论研究与优秀设计案例,分别从包装视觉、结构、材料、技术4个维度总结出果蔬包装功能延伸设计的方法及流程,并将其应用于应季水果荔枝包装设计实践。
今日访问
您是本站第 访问者 
通信地址:湖南省长沙市天心区万家丽南路二段960号
电话:0731-85258200 E-mail:foodmm@ifoodmm.com 邮编:410114
技术支持:北京勤云科技发展有限公司
版权所有:食品与机械 ® 2026 版权所有

快速检索
友情链接